What is dental implant
A dental implant is an artificial tooth root replacement fixture of titanium which are surgically screwed into your jaw bone
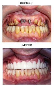
What dental implants can do ?

Advantages of dental implants over dentures or a bridge
- replace one or more teeth without affecting bordering teeth
- support a bridge and eliminate the need fore a removable partial denture
- provide support for a denture, making it more secure and comfortable.
- Estethic : dental implants look and feel like your own teeth !
- Tooth saving : dental implants don’t sacrifice the quality of your adjacent teeth
- Confidence : dental implants will allow you to once again speak and eat with comfort and confidence!
- Reliable : the success rate of dental implants is highly predictable and they are considered an excellent option for tooth replacement.

How long does It take for implant procedure ?
The implant procedure is a surgical placement of the implant or implants in your jaw bone which requires a three to six month healing period before the implant restoration to replace the missing tooth or teeth. During this healing time, the bone grows in and around the titanium implant creating a very strong support. Dental implants can be rejected. Usually they are replaced with another implant of a slightly larger size. The rejection or “failure” rate is minimal, only 1 to 2% of all implant procedures. You must go without wearing your dentures for one day to two weeks after an implant placement. After the implant has “taken” and you have sufficiently healed, replacement tooth or teeth in the form of crown, bridge or denture, is then placed over the implant.

After your implant surgery …
- 2 days after the surgery, apply ice pack on the side of the face where the surgery was performed
- keep physical activities to a minimum, avoid overexertion and do not use sauna for 3 days
- refrain from drinking alcohol and smoking for 2 week
- chew foods on the opposite side of the surgery site. Avoid hot foods
- avoid blowing your nose strongly or spitting, in case of bone graft to the maxillary sinus
- in case of severe bleeding, place gauze soaked in cold water in the mouth. Apply pressure by gently biting down on the gauze. Do not brush in the area of the surgery site for 2 – 3 days. Use a mouth rinse instead.
The surgery site may swell considerably for 2 – 3 days. If the swelling persists, apply warm compression for relief. If the swollen part is painful, visit a dental clinic for the appropriate treatment.